Сканер Tringa Vet призначений для обстеження внутрішніх органів, кісток, сухожиль, м'язової тканини, судин, мозку та ін. у всіх видів сільськогосподарських, домашніх та екзотичних тварин, а також птахів та риб.
Унікальний дизайн апарату дозволяє розміщувати його під час дослідження на передпліччі, або в спеціальній сумочці, звільняючи, таким чином обидві руки, а його 12-ти вольтова батарея дає можливість безперервної роботи протягом 4-х годин.
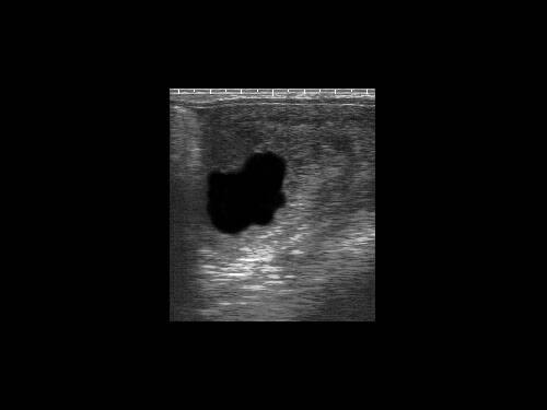
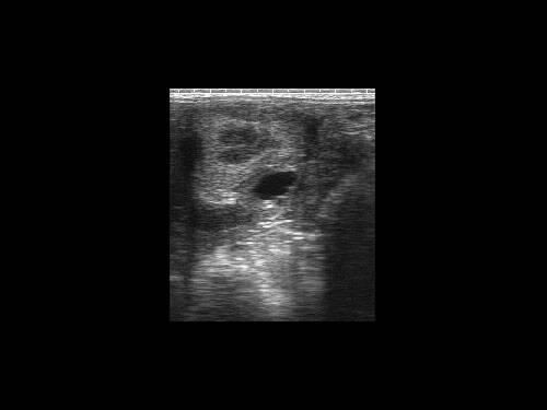
Дякуючи програмному забезпеченню найбільш широке використання сканер Tringa Vet отримав для ранньої діагностики вагітності та визначення життєздатності плоду у самок всіх видів сільськогосподарських та домашніх тварин, визначення оптимального часу для осіменіння, а також обстеження статевої системи самців та самок, діагностики акушерських та гінекологічних патологій.
За допомогою сканера Tringa Vet можливо визначити вагітність, після осіменіння, у всіх видів сільськогосподарських тварин на ранніх стадіях: супоросність - на 18 добу, тільність - на 30 добу, жеребність - на 11 добу, суягність - на 26 добу, сукрільність - на 9 добу.
Контроль якості осіменіння з допомогою сканера Tringa Vet дає можливість не тільки зекономити час та гроші, зменшивши кількість днів, витрачених на запліднених тварин, але й визначити приблизну кількість плодів, а також життєздатність майбутнього приплоду.

Безналичный расчёт
Новая Почта
Самовывоз
Повернення і обмін
Відповідно до закону України «про захист прав споживачів» ви можете протягом 14 днів з моменту покупки повернути або обміняти товар, придбаний в магазині, за умови виконання всіх норм передбачених законом. Умови обміну / повернення товару належної якості стаття 9. Відповідно до закону України «про захист прав споживачів»: споживач має право обміняти непродовольчий товар належної якості на аналогічний у продавця, у якого він був придбаний, якщо товар не задовольнив його за формою, габаритами, фасоном, кольором, розміром або з інших причин не може бути ним використаний за призначенням. Споживач має право на обмін товару належної якості протягом чотирнадцяти днів, не рахуючи дня покупки. споживач (термін вживається в такому значенні згідно статті 1. п.22 закону України «про захист прав споживачів») – фізична особа, яка купує, замовляє, використовує або має намір придбати чи замовити продукцію для особистих потреб, не пов’язаних з підприємницькою діяльністю або виконанням обов’язків найманого працівника. обмін або повернення товару належної якості провадиться: якщо не використовувався; якщо збережено його товарний вигляд, споживчі властивості, пломби, ярлики; на підставі розрахунковий документ, виданий споживачеві разом з проданим товаром. умови обміну / повернення товару неналежної якості стаття 8. Згідно із законом України «про захист прав споживачів»: в разі виявлення протягом встановленого гарантійного строку недоліків споживач, в порядку та в строки, встановлені законодавством, має право вимагати безоплатного усунення недоліків товару в розумний строк. вимоги споживача, передбачених цією статтею, не підлягають задоволенню, якщо продавець, виробник (підприємство, що задовольняє вимоги споживача, встановлені частиною першою цієї статті) доведуть, що недоліки товару виникли внаслідок порушення споживачем правил користування товаром або його зберігання. Споживач має право брати участь у перевірці якості товару особисто або через свого представника.